
Any of the major muscle attaching to the pelvis or proximal femur may pull off at their attachment. This is classically a sporting injury, resulting from those resulting from extreme, unbalanced, often eccentric muscular contractions.
Once healing starts these lesions may mimic the appearance of an osteosarcoma, unfortunately so may the histology.
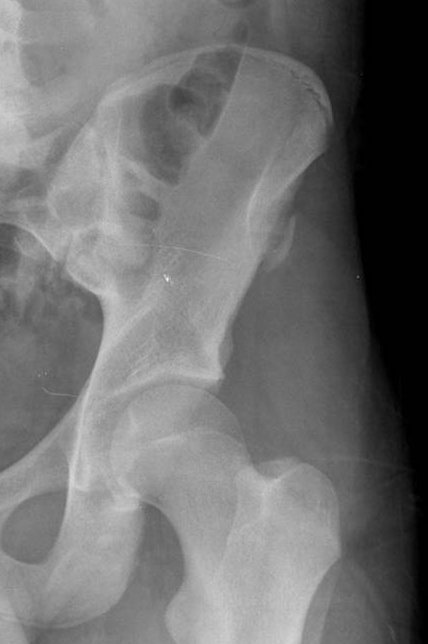
Ischial Avulsion


This can mimic a simple hamstring strain, although there is usually more bruising. Most patients are treated conservatively. If the displacement is more than 2 cm then internal fixation is indicated.
Anterior-Superior Iliac Spine Avulsion
This is the attachment of the sartorius and tensor fascia lata muscles.
© Mr Gavin Holt :: CotswoldClinics.com :: Print this frame